La hidronefrosis se define como la dilatación del sistema colector renal, que puede ser detectada prenatalmente mediante técnicas de ultrasonido.[1] Esta condición puede abarcar una variedad de entidades clínicas diferentes, como anomalías congénitas de la unión ureteropélvica, reflujo vesicoureteral, válvulas uretrales posteriores y riñón doble.[1] En el contexto prenatal, la hidronefrosis se identifica cuando el diámetro anteroposterior de la pelvis renal supera los 5 mm.[2] La hidronefrosis puede resolverse espontáneamente en la mayoría de los casos postnatales, aunque algunos requieren intervención quirúrgica para aliviar la obstrucción o corregir el reflujo vesicoureteral.[3]

La clasificación de la hidronefrosis en neonatos se realiza principalmente mediante dos sistemas: el sistema de clasificación de la dilatación del tracto urinario (UTD, por sus siglas en inglés) y el sistema de la Sociedad de Urología Fetal (SFU, por sus siglas en inglés).
1.Sistema de Clasificación de Dilatación del Tracto Urinario (UTD):
Este sistema se introdujo para proporcionar un enfoque unificado para describir la dilatación del tracto urinario en neonatos y lactantes jóvenes. Se clasifica en tres grados postnatales: UTD P1 (bajo riesgo), UTD P2 (riesgo intermedio) y UTD P3 (alto riesgo). Este sistema ha demostrado ser útil para predecir la necesidad de intervención quirúrgica y la ocurrencia de infecciones del tracto urinario (ITU) en neonatos con hidronefrosis.[1-3]

2. Sistema de la Sociedad de Urología Fetal (SFU):
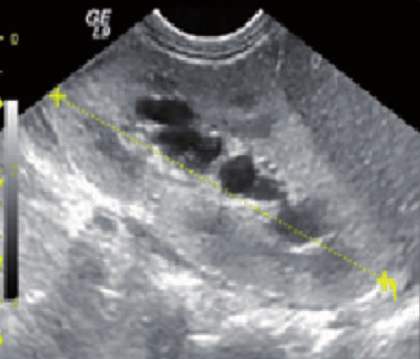
Este sistema clasifica la hidronefrosis en cuatro grados, de I a IV, basándose en la apariencia ecográfica del sistema colector renal. Los grados más altos están asociados con un mayor riesgo de intervención quirúrgica y menor tasa de resolución espontánea.[4-6]

0, no hydronephrosis / 1) dilatation of renal pelvis alone / 2) plus caliceal dilation / 3)plus< ½ renal parenchymal loss / 4)plus> ½ renal parenchymal loss.
Ambos sistemas son utilizados para estratificar el riesgo y predecir los resultados clínicos en neonatos con hidronefrosis. El sistema UTD ha sido validado como una herramienta confiable para evaluar la hidronefrosis postnatal y es útil para predecir la intervención quirúrgica.[7] Además, se ha demostrado que ambos sistemas permiten una adecuada estratificación del riesgo y predicción de resultados clínicos basados en la ecografía inicial.[6]



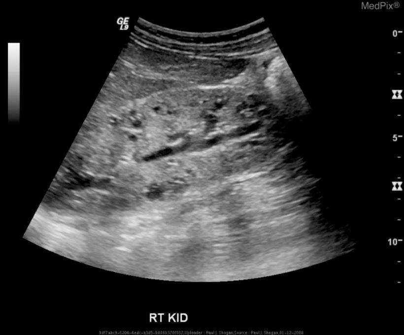
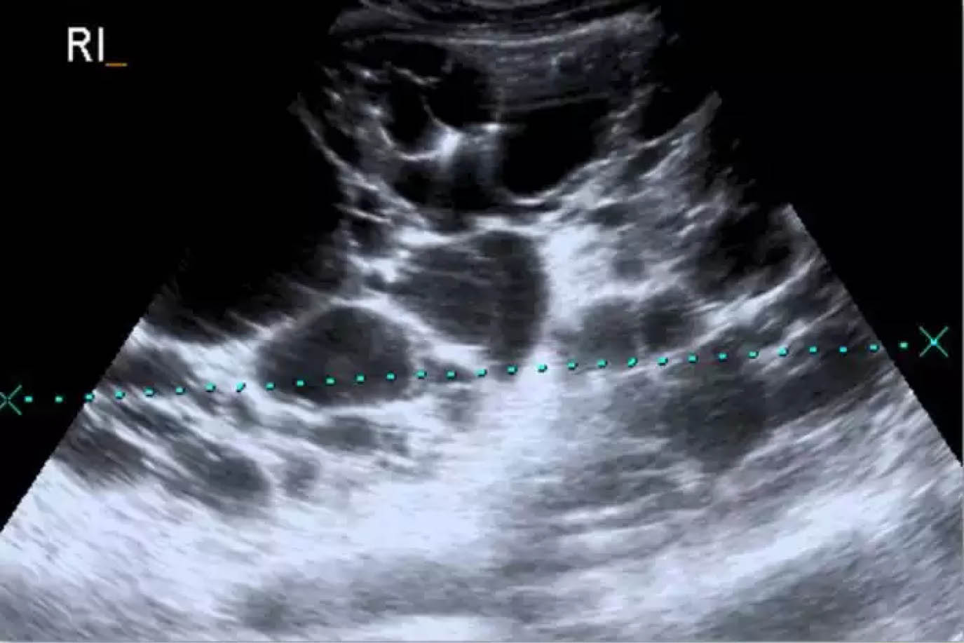
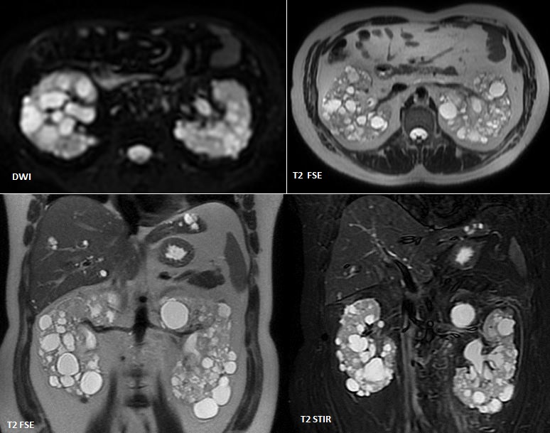
La enfermedad renal poliquística autosómica dominante (ADPKD), la enfermedad renal poliquística autosómica recesiva (ARPKD) y el riñón displásico multicístico presentan características distintivas en la ecografía neonatal.
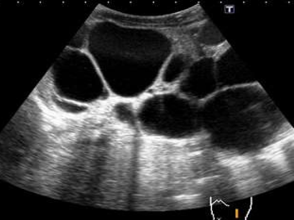
1. Enfermedad renal poliquística autosómica dominante (ADPKD):
En neonatos, la ADPKD puede mostrar riñones agrandados con múltiples quistes de diferentes tamaños en la corteza y la médula renal. La ecogenicidad cortical puede estar aumentada y la diferenciación corticomedular puede estar disminuida o ausente en casos severos. Aunque la ADPKD es más comúnmente diagnosticada en adultos, puede ser detectada prenatalmente en algunos casos.[1-2]
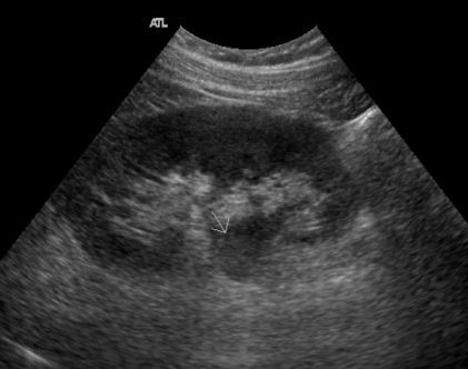
2. Enfermedad renal poliquística autosómica recesiva (ARPKD):
En la ARPKD, los riñones suelen estar agrandados y presentan una ecogenicidad aumentada con una pobre diferenciación corticomedular. Los quistes son generalmente pequeños y numerosos, distribuidos en la corteza y la médula, lo que puede dar una apariencia de «sal y pimienta» en la ecografía. Esta condición puede estar asociada con oligohidramnios y características de síndrome de Potter debido a la compresión fetal.[4]
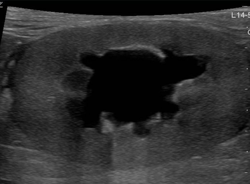
3. Riñón displásico multicístico:
Esta condición se caracteriza por la presencia de múltiples quistes grandes que reemplazan el parénquima renal normal, resultando en una pérdida de la arquitectura renal normal. A diferencia de las enfermedades poliquísticas, el riñón displásico multicístico generalmente afecta solo un riñón y no presenta una diferenciación corticomedular.[1]
La ecografía es una herramienta crucial para diferenciar estas condiciones en neonatos, permitiendo una evaluación detallada de la estructura y la ecogenicidad renal, así como la identificación de quistes y su distribución.



