El proceso de neumatización normal del intestino: a los pocos minutos del nacimiento se identifica aire en el estómago, a las 6-12 horas prácticamente todo el intestino delgado contiene aire, y a las 12-24 horas el aire ha llegado al recto.



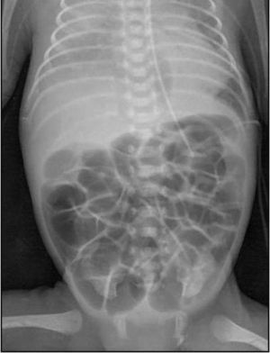
La enterocolitis necrosante (NEC) es una condición grave en neonatos, especialmente en aquellos prematuros, y la ecografía abdominal se ha convertido en una herramienta valiosa para su diagnóstico y manejo. Los hallazgos ecográficos en neonatos con NEC incluyen una serie de características que pueden ayudar a identificar la gravedad de la enfermedad y la necesidad de intervención quirúrgica.
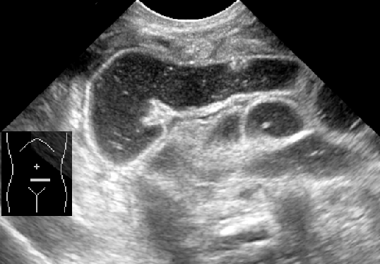
1. Neumatosis intestinal: La presencia de gas en la pared intestinal es un hallazgo clásico y altamente sugestivo de NEC.
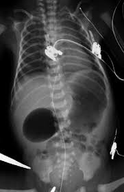
2. Neumoperitoneo: La presencia de gas libre en la cavidad peritoneal sugiere perforación intestinal y es una indicación para intervención quirúrgica.[1][3-4]
3. Engrosamiento de la pared intestinal: Un engrosamiento de la pared intestinal mayor a 2.5 mm es un hallazgo ecográfico asociado con NEC y puede ser un indicador de inflamación severa.[2][5]
4. Gas portal venoso: La presencia de gas en la vena porta es otro hallazgo ecográfico que puede estar presente en NEC, aunque su asociación con la necesidad de cirugía o muerte no es tan fuerte como otros hallazgos.[2][4]
5. Reducción del peristaltismo: La disminución o ausencia de movimiento peristáltico en el intestino es un signo de NEC y puede ser evaluado mediante ecografía.[2][4]
6. Colecciones de líquido focales y ascitis compleja: Estos hallazgos son indicativos de una posible complicación y están asociados con un mayor riesgo de requerir intervención quirúrgica.[3-4]
7. Hiperecogenicidad de los contenidos intraluminales: Este hallazgo, junto con el engrosamiento del mesenterio y las anomalías de la pared abdominal, se ha asociado con un peor pronóstico en neonatos con NEC.[6]
Estos hallazgos son cruciales para la evaluación y manejo de la NEC en neonatos, permitiendo una identificación temprana de aquellos que podrían beneficiarse de un tratamiento más agresivo, incluyendo cirugía.[4]




GALERIA DE CASOS CLINICOS EN VIDEO Y FOTOGRAFIA.
CASO CLINICO 01

CASO CLINICO 02

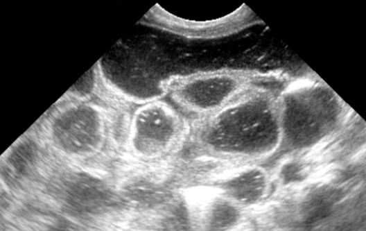
Los hallazgos ecográficos de íleo paralítico en neonatos pueden incluir varios signos característicos. Según la literatura médica, el íleo paralítico se manifiesta por la dilatación de los intestinos, tanto del intestino delgado como del grueso, sin evidencia de obstrucción mecánica.[1] En el contexto de neonatos, especialmente aquellos con encefalopatía hipóxico-isquémica, se ha observado una disminución o ausencia de peristalsis, lo cual es un indicador clave de íleo paralítico.[2] Además, puede haber un aumento de la ecogenicidad de la pared intestinal y la presencia de líquido libre en la cavidad abdominal.[2] Estos hallazgos son consistentes con la falta de movimiento intestinal y la acumulación de contenido intestinal debido a la parálisis del músculo liso intestinal.
Es importante diferenciar el íleo paralítico de la obstrucción mecánica, ya que los hallazgos ecográficos pueden ser similares, pero la ausencia de peristalsis y la dilatación generalizada sin un punto de obstrucción son más indicativos de íleo paralítico.[1] La ecografía puede ser particularmente útil en la evaluación temprana, ya que permite identificar cambios en la peristalsis y la estructura de la pared intestinal antes de que se desarrollen signos radiográficos más clásicos.[1]


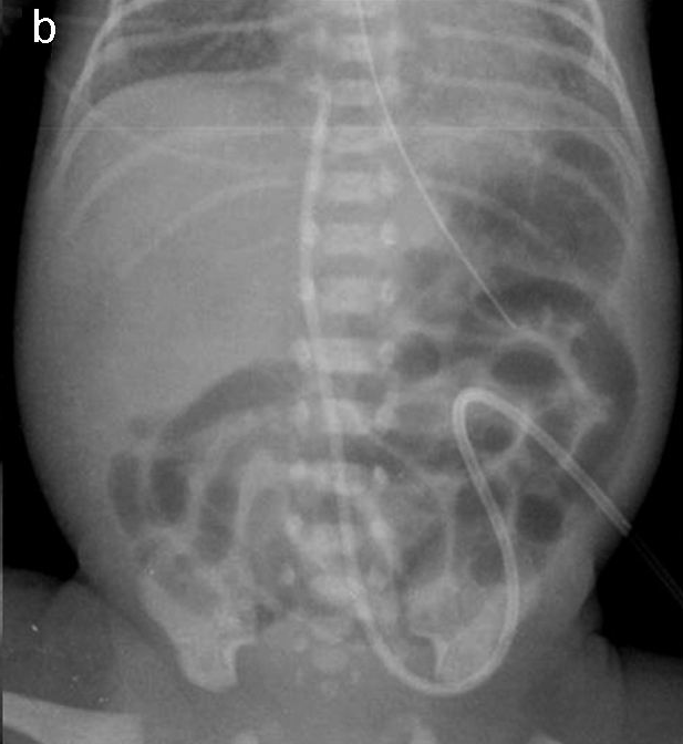
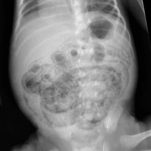
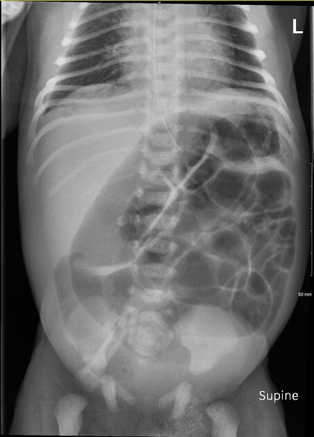
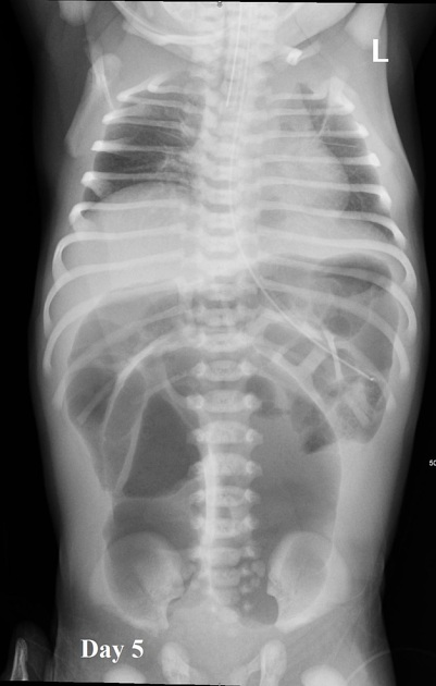
En neonatos, la obstrucción intestinal puede ser diagnosticada mediante una serie de hallazgos radiológicos característicos. La evaluación radiológica es crucial para diferenciar entre las diversas causas de obstrucción intestinal, que pueden ser de origen alto o bajo, y para determinar el manejo adecuado.
1. Radiografía Abdominal: Es la primera línea de imagen utilizada para evaluar la obstrucción intestinal en neonatos. Los hallazgos típicos incluyen dilatación de asas intestinales y la presencia o ausencia de niveles hidroaéreos, lo cual puede indicar si la obstrucción es proximal o distal. Por ejemplo, la «burbuja única» se asocia con atresia esofágica, la «doble burbuja» con atresia duodenal, y la «triple burbuja» con atresia yeyunal.[1-2]
2. Estudios de Contraste Gastrointestinal: Estos estudios son útiles para confirmar el diagnóstico y determinar la ubicación exacta de la obstrucción. Un enema de contraste puede mostrar un microcolon en casos de atresia ileal o colónica, y es particularmente útil para diagnosticar íleo meconial y enfermedad de Hirschsprung, donde se puede observar una zona de transición en el colon.[3-4]
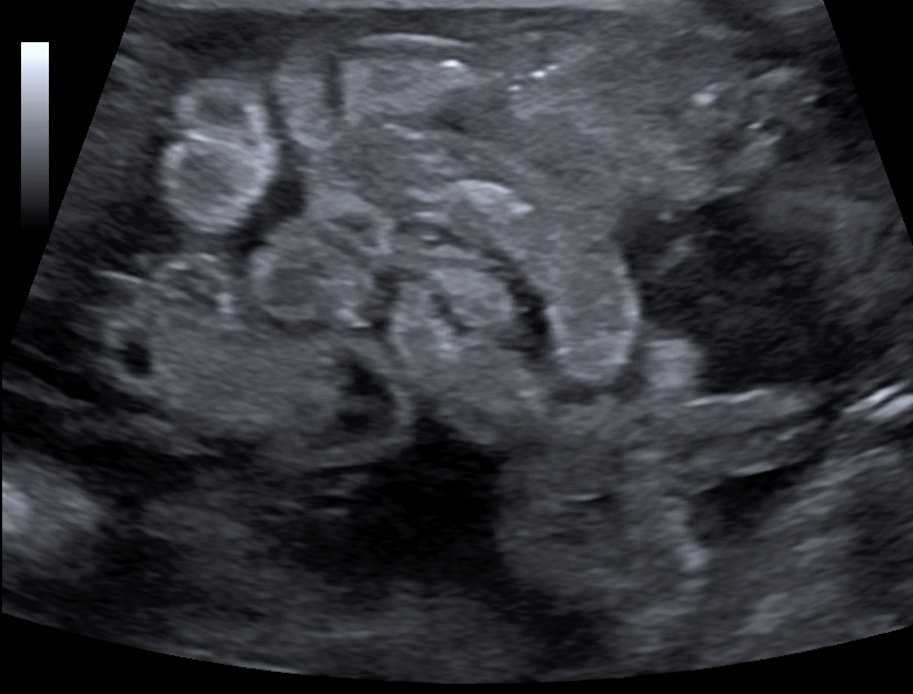
3. Ultrasonido Abdominal: Aunque menos común que las radiografías y los estudios de contraste, el ultrasonido puede ser útil en ciertos casos, como en la estenosis pilórica hipertrófica y la malrotación con vólvulo, donde puede mostrar signos específicos como el «signo del remolino».[1]









Caracterizada por un engrosamiento anormal del músculo pilórico, lo que lleva a una obstrucción de la salida gástrica. Esta condición es una causa común de vómitos no biliosos en lactantes y generalmente se presenta entre las 2 y 12 semanas de vida.
El diagnóstico se realiza principalmente mediante ecografía, que muestra un alargamiento constante y un engrosamiento de la pared del píloro, con una longitud del canal pilórico superior a 18 mm y un grosor muscular de al menos 4 mm.


Ejemplos de estenosis pilorica hipertrofica infantil.



